Imagem da variante ômicron é capturada pela 1ª vez por cientistas

9 de dezembro de 2021 197

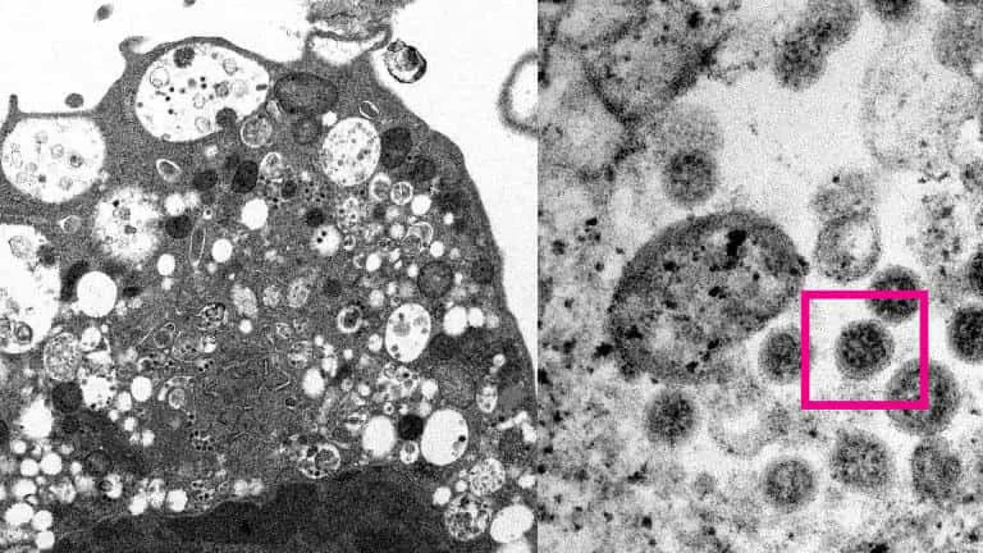
SÃO PAULO, SP (FOLHAPRESS) - Dois cientistas da Universidade de Hong Kong divulgaram nesta terça-feira (8) as duas primeiras imagens da variante ômicron, que alertou a comunidade global para evitar novos picos da pandemia. 

Segundo informações oficiais da instituição, os cientistas capturaram duas imagens da nova variante em microscópio.
À esquerda da imagem, é possível ver uma célula de um rim de macaco após infecção com a variante ômicron. A foto mostra alguns danos celulares com vesículas inchadas e contém pequenas partículas virais em cor preta.

Já a parte direita da imagem, vê-se uma célula infectada. Na parte que tem uma caixa vermelha, observa-se partículas virais com pontas em forma de coroa.

Identificada pela primeira vez na África do Sul, a nova variante logo chamou a atenção da OMS (Organização Mundial da Saúde), que a considerou um risco muito elevado. A entidade vem destacando, também, que são muitas as incógnitas sobre essa cepa, especialmente acerca do perigo real que representa.

"Dadas as mutações que poderiam conferir a capacidade de escapar de uma resposta imune, e dar-lhe uma vantagem em termos de transmissibilidade, a probabilidade de que a ômicron se propague pelo mundo é elevada", afirmou a OMS.

Mais recentemente, novas informações trouxeram perspectiva positiva diante da ômicron. O respeitado cientista americano Anthony Fauci, por exemplo, afirmou que, embora vá levar semanas para que seja determinada a gravidade da variante ômicron do coronavírus, os primeiros indícios sugerem que ela não é pior do que as variantes anteriores e possivelmente é mais branda.

A BioNTech e a Pfizer, por sua vez, informaram nesta quarta-feira (8) que três doses de sua vacina contra Covid neutralizaram a variante ômicron do novo coronavírus em um teste de laboratório. Além disso, seria possível oferecer uma versão do imunizante para a nova cepa em março de 2022, caso seja necessário.

No mesmo dia, porém, a OMS disse que ainda não é possível ter certeza de que três doses de vacina contra Covid neutralizam a ômicron. Segundo a entidade, existe a expectativa de ter melhores evidências sobre a eficácia do reforço vacinal nas próximas semanas com o desenvolvimento de novas pesquisas.

Fonte: FOLHAPRESS